Ankle Replacement (Ankle Arthroplasty)
Total ankle replacement, also known as total ankle arthroplasty, is a surgical treatment for ankle arthritis that is appropriate for some patients.

Can ankles be replaced?
Ankle replacement surgery has been an option for many years. Recent advancements in technology and techniques have made it the preferred option for treating patients with ankle arthritis.
Ankle replacement can take away the pain from the arthritis and preserve the motion at the joint. This helps patients perform tasks such as walking on uneven ground and going up and down stairs. It also protects the other joints of the foot to help prevent them from getting arthritis.
What is ankle replacement surgery?
Ankle replacement is a surgical treatment for ankle arthritis in which portions bone and cartilage in joint removed and replaced with prosthetic implants. A total ankle replacement prosthesis is made up of three different parts: A titanium metal component is attached to the tibia, a cobalt-chrome piece is connected to the talus, and a polyethylene (plastic) implant is placed between the two. An ankle replacement takes away pain from arthritis, while also preserving motion at the joint.
Ankle replacement animation
Ankle joint anatomy and arthritis
The ankle (known by doctors as the tibiotalar joint) is a complex joint that allows your foot to rotate and pivot in relation to your leg. Three separate bones meet to form the ankle joint. These are the:
- tibia (the larger bone in your leg)
- fibula (the smaller bone on the outside of your leg)
- talus (the bone that connects your leg to your foot)

Cartilage (cushioning) covers the ends of these bones to allow them to glide together smoothly. If the cartilage in the ankle becomes damaged or wears down due to injury or disease, the bone surfaces will rub each other during movement. This causes osteoarthritis (joint inflammation, or pain and swelling) in the ankle. Over time, the bone-on-bone grinding of osteoarthritis can wear away the bone surfaces, causing bone spurs and stiffness in the joint.

Lateral (side view) and anteroposterior (front view) X-rays showing end-stage arthritis with bone-on-bone contact in the ankle joint.
What is replaced in an ankle replacement?
The surface of the tibia and talus that make up the ankle joint is removed. In their place, metal pieces are inserted into the bone. Then, a plastic insert it attached to the metal piece on the tibia. In a replacement, the metal piece on the talus will rub against the plastic piece attached the tibial implant. This takes away the pain for the ankle arthritis and preserves the motion in the joint.

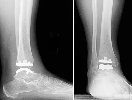
Lateral (side view) and anteroposterior (front view) X-rays showing the implants of a total ankle replacement.
What happens if I have avascular necrosis of the talus?
In some cases, part of the talus loses its blood supply and collapses (called avascular necrosis, "AVN" or osteonecrosis). When this happens, the bone is no longer healthy and cannot support an ankle replacement. But there are additional options, depending on how much of the bone is necrotic.
- If the area of necrosis is small, then that portion of bone can be removed at the time of the replacement, and the implant can rest on the remainder of the talus that is still healthy.
- If the area of necrosis is too large, then the entire talus bone can be replaced with a metal piece that is custom made for the patient.
Who should get an ankle replacement?
Ankle replacement is for patients who are no longer able to manage their ankle arthritis pain and swelling with nonsurgical treatments such as:
- physical therapy
- ankle braces
- nonsteroidal anti-inflammatory drugs (NSAIDs)
- corticosteroid injections
Should I get an ankle replacement or an ankle fusion?
Studies have shown that replacement and fusion offer the same degree of pain relief, but that ankle replacement provides much better function in the ankle by retaining the joint’s flexibility. But in some patients, ankle replacement is not possible, and fusion is the appropriate option.
Before ankle replacement gained acceptance, ankle fusion surgery was the standard treatment for ankle arthritis. In an ankle fusion, the two bones of the ankle, the tibia and the talus, are joined together and held in place with plates and/or screws. Over time, the bones heal together. Once that occurs, the joint will no longer hurt, but will also no longer bend.
X-rays showing a person with an ankle replacement in flexion (left) and extension (right).
When is ankle fusion a better option than ankle replacement?
There are a variety of reasons why some patients may not be able to have an ankle replacement. It could be that their bone that is too weak, or that they have a deformity or malalignment of the ankle and foot that is not correctable. Replacement is not appropriate for people with certain neuromuscular disorders or those who have Charcot arthropathy – a peripheral neuropathy (loss of sensation) in the foot and ankle. In addition, patients with an active infection are not candidates for ankle replacement and are best treated with a fusion.
Why is ankle replacement a better option now than years ago?
Total ankle implants are more anatomic now than years ago. This means that they restore the normal anatomy of the ankle and require that only minimal bone tissue be removed from the ankle. Instruments to perform the surgery have also significantly improved, allowing orthopedic surgeons to be more accurate and perform the surgery more reliably. There has also been significant progress in the medical community’s understanding of how to balance the ligaments of the ankle and align the foot underneath the ankle at the time of ankle replacement. All of these factors have resulted in better outcomes for patients who receive an ankle replacement.
Why should I choose HSS for my ankle replacement surgery?
Total ankle replacement is not a common procedure with relatively few expert surgeons performing it. It can seem scary and intimidating, but it doesn’t have to be. HSS has a dedicated team of doctors, nurses and physical therapists with extensive replacement experience.
Our surgeons begin with a thorough assessment of the ankle and the foot. Working together, we formulate a plan to address the arthritis condition specific to your ankle, and correct deformity or malalignment that may exist in your ankle and foot. After the surgery, we work with your physical therapist to make sure you maximize your result from surgery with a simple goal in mind – to get you back to the activities you love to do.
(Find a surgeon at the HSS Total Ankle Replacement Center.)
What are ankle replacement implants made of?
Ankle replacement prostheses are made of titanium, cobalt chromium alloy and polyethylene. For patients with a nickel allergy, a custom all-titanium implant may be an option.
Is ankle replacement done under general or regional anesthesia?
Ankle replacement is performed under regional anesthesia. The leg is made numb for the surgery, and often the numbing medicine will last for a day or two after the surgery, which helps control the pain. Prior to starting the surgery, patients receive medicine to fall asleep during the surgery, but they breathe on their own during the procedure and are not unconscious.
Will I have to stay in the hospital overnight for ankle replacement surgery?
Most patients can go home the same day as their surgery. Some patients may spend one night in the hospital and go home the next day.
What is ankle replacement recovery like?
In the first four weeks after surgery, your leg should be kept elevated, and you will not place weight on your foot. After four weeks, you begin walking in a boot and begin physical therapy. At eight weeks Most patients are able to wear normal shoes and begin limited activity. After four months, most patients feel better than they did before surgery. At six months, you are typically 75% recovered, with complete recovery expected at one year after surgery.
Below are the typical recovery time frames and benchmarks. But these may vary from patient to patient.
The first four weeks
- Immediately after surgery, the ankle is in a cast and you are not allowed to place weight on the foot.
- For the first two weeks, the ankle will be elevated above the level of the heart to minimize swelling in the ankle and foot, and to allow the incision to heal as quickly as possible. Your ankle will be elevated about 90% of the time, but you will be able to get up for meals and to use the bathroom using crutches.
- After the first two weeks, the sutures from the incision will be removed, and your ankle placed in a removable boot. You will be instructed on a home exercise program, and at this stage you can remove the boot to shower, sleep and do your exercises. Your leg should still be elevated 60% of the time, however.
After four weeks: Beginning physical therapy
- After four weeks, you may begin placing weight onto the leg using the protective boot, and you will start physical therapy.
- At eight weeks after surgery, you can stop using the protective boot and return to wearing a regular shoe or sneaker for walking.
Four months and beyond: Recovery progress benchmarks
- At four months, you will be better than you were prior to surgery.
- At six months, you will be about 75% recovered.
- At one year after surgery, you will have maximized your improvement after the ankle replacement.
Frequently asked questions about ankle replacement recovery
Below are answers to other common questions about the recovery process and timing.
What is the recovery time for an ankle replacement?
At four weeks, most patients can bear some weight on the ankle while wearing a removable boot. At six months, people are usually about 75% recovered. Complete return to activity may take up to a year.
How long is it before you can walk after an ankle replacement?
Most patients can walk using a protective boot at four weeks after surgery and can walk wearing a regular shoe at eight weeks. If any additional surgery is needed in the foot at the time of the ankle replacement, then it may be six weeks before walking in a boot and ten weeks before walking in a shoe. The full recovery timeline is discussed below.
When can I drive again after ankle replacement?
Most patients are able to drive eight weeks after surgery on the right ankle, and sooner if the surgery is on the left ankle.
Will I need someone to help me manage at home after ankle replacement?
Having someone at home to help, particularly during the first two weeks, is recommended, since you cannot bear weight for four weeks after surgery in order to allow the bone and soft tissues to heal.
When can I be active again after ankle replacement?
Your activity will be extremely limited for four weeks, since you can’t put any weight on your foot during that time. After that, you begin walking in a boot. It will likely be at least six months to a year before you can return to heavy activity like sports.
What physical limitations will I have after ankle replacement?
After ankle replacement, patients can walk, hike, take a stroll on the beach, play golf or doubles tennis, etc. The biggest limitation is to avoid running or jumping, unless it is an emergency.
How successful is ankle replacement surgery?
Ankle replacement is generally a very successful procedure with regard to alleviating pain and preserving motion at the ankle. Certainly there are risks to surgery any surgery. Risks of ankle replacement surgery include infection, numbness, blood clots, and the risk that implant may not adhere to the bone right away. Like all joint replacements implants, total ankle replacement prostheses can loosen over time. Follow-up with your doctor is important. HSS surgeons monitor progress feedback from patients and monitor their implants many years after the surgery with X-rays.
How long do ankle replacement implants last?
In 90% of cases, the replacement lasts 10 years. Usually, they will last even longer, but in some cases, the implant may fail in less than 10 years. Ankle replacements can loosen over time. If the metal piece is moving inside the bone, then pain and swelling can occur. If the implant loosens and causes pain, then a second ankle replacement surgery can be performed or the replacement implants can be removed and the ankle fused.
Does the ankle replacement eventually need to be replaced?
There are instances when the plastic insert between the metal prostheses may need to be exchanged, or where cysts develop in the bone surrounding the implants that need to be filled. If the implants loosen, then there is pain, and they may be exchanged for a revision total ankle replacement. If the bone is too weak to support another replacement at that time, there are custom 3D printed options as well as the ability to convert the failed replacement to a fusion.
Explore Related Patient Stories
View All Patient StoriesReferences
- Adams SB, Steele JR, Demetracopoulos CA, Nunley JA, Easley ME, DeOrio JK. Results of Tibia and Fibula Osteotomies Performed Concomitant to Total Ankle Replacement. Foot Ankle Int. 2020 Mar;41(3):259-266. doi: 10.1177/1071100719892221. Epub 2019 Dec 9. PMID: 32134716. https://pubmed.ncbi.nlm.nih.gov/32134716/
- Agarwalla A, Gowd AK, Cody EA, Johnson PK, Yao K, Nunley JA 2nd, Amin NH, Liu JN. Timeline for maximal subjective outcome improvement following total ankle arthroplasty. Foot Ankle Surg. 2021 Apr;27(3):305-310. doi: 10.1016/j.fas.2020.05.012. Epub 2020 Jun 8. PMID: 32565023. https://pubmed.ncbi.nlm.nih.gov/32565023/
- Behrens SB, Irwin TA, Bemenderfer TB, Schipper ON, Odum SM, Anderson RB, Davis WH. Clinical and Radiographic Outcomes of Revision Total Ankle Arthroplasty Using an Intramedullary-Referencing Implant. Foot Ankle Int. 2020 Dec;41(12):1510-1518. doi: 10.1177/1071100720947036. Epub 2020 Aug 14. PMID: 32795097. https://pubmed.ncbi.nlm.nih.gov/32795097/
- Day J, Kim J, O'Malley MJ, Demetracopoulos CA, Garfinkel J, Sanders A, Roney A, Deland JT, Levine DS, Ellis SJ. Radiographic and Clinical Outcomes of the Salto Talaris Total Ankle Arthroplasty. Foot Ankle Int. 2020 Dec;41(12):1519-1528. doi: 10.1177/1071100720947030. Epub 2020 Aug 14. PMID: 32791850. https://pubmed.ncbi.nlm.nih.gov/32791850/
- Dyke JP, Garfinkel JH, Volpert L, Sanders A, Newcomer M, Dutruel SP, Sofka CM, Ellis SJ, Demetracopoulos CA. Imaging of Bone Perfusion and Metabolism in Subjects Undergoing Total Ankle Arthroplasty Using 18F-Fluoride Positron Emission Tomography. Foot Ankle Int. 2019 Dec;40(12):1351-1357. doi: 10.1177/1071100719882717. Epub 2019 Oct 9. PMID: 31597454. https://pubmed.ncbi.nlm.nih.gov/31597454/
- Henry JK, Rider C, Cody E, Ellis SJ, Demetracopoulos C. Evaluating and Managing the Painful Total Ankle Replacement. Foot Ankle Int. 2021 Oct;42(10):1347-1361. doi: 10.1177/10711007211027273. Epub 2021 Jul 27. PMID: 34315246. https://pubmed.ncbi.nlm.nih.gov/34315246/
- Quevedo González FJ, Steineman BD, Sturnick DR, Deland JT, Demetracopoulos CA, Wright TM. Biomechanical evaluation of total ankle arthroplasty. Part II: Influence of loading and fixation design on tibial bone-implant interaction. J Orthop Res. 2021 Jan;39(1):103-111. doi: 10.1002/jor.24876. Epub 2020 Oct 20. PMID: 33030768; PMCID: PMC7748995. https://pubmed.ncbi.nlm.nih.gov/33030768/
- Saito GH, Sturnick DR, Ellis SJ, Deland JT, Demetracopoulos CA. Influence of Tibial Component Position on Altered Kinematics Following Total Ankle Arthroplasty During Simulated Gait. Foot Ankle Int. 2019 Aug;40(8):873-879. doi: 10.1177/1071100719858620. Epub 2019 Jun 27. PMID: 31244338. https://pubmed.ncbi.nlm.nih.gov/31244338/
- Sanders AE, Kraszewski AP, Ellis SJ, Queen R, Backus SI, Hillstrom H, Demetracopoulos CA. Differences in Gait and Stair Ascent After Total Ankle Arthroplasty and Ankle Arthrodesis. Foot Ankle Int. 2021 Mar;42(3):347-355. doi: 10.1177/1071100720965144. Epub 2020 Nov 16. PMID: 33198507. https://pubmed.ncbi.nlm.nih.gov/33198507/
- Steineman BD, Quevedo González FJ, Sturnick DR, Deland JT, Demetracopoulos CA, Wright TM. Biomechanical evaluation of total ankle arthroplasty. Part I: Joint loads during simulated level walking. J Orthop Res. 2021 Jan;39(1):94-102. doi: 10.1002/jor.24902. Epub 2020 Nov 11. PMID: 33146417; PMCID: PMC7749051. https://pubmed.ncbi.nlm.nih.gov/33146417/
- Zeitlin J, Henry J, Ellis S. Preoperative Guidance With Weight-Bearing Computed Tomography and Patient-Specific Instrumentation in Foot and Ankle Surgery. HSS J. 2021 Oct;17(3):326-332. doi: 10.1177/15563316211026325. Epub 2021 Jul 7. PMID: 34539274; PMCID: PMC8436345. https://pubmed.ncbi.nlm.nih.gov/34539274/