Bilateral Metachronous Staphylococcal Knee PJI in a 75-Year-Old Woman Treated with Staged Both-Component Revisions
From Grand Rounds from HSS: Management of Complex Cases | Volume 14, Issue 1
Case Report
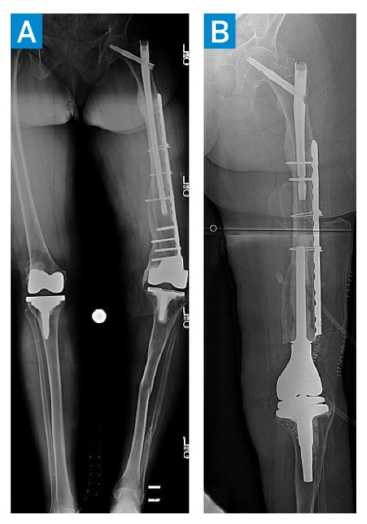
A 75-year-old woman presented with mechanical loosening of a left knee arthroplasty. She had a history of tibial and femoral fractures to the left leg with a retained cephalomedullary nail, lateral femoral plate, and post-traumatic tibial deformities (Figure 1A). She underwent a complex left knee revision surgery, with exchange of the cephalomedullary nail to a shorter construct, cutting of the lateral plate, and conversion to a distal femoral replacement (Figure 1B).

Figure 1: Anteroposterior views of bilateral legs on initial presentation (A) followed by complex left knee revision with nail exchange, partial plate removal, and distal femoral implantation (B).
At 4 months postoperatively, she developed a foot infection, with subsequent left knee pain, a knee draining sinus, and fever. Surgery was performed for an acute hematogenous periprosthetic joint infection (PJI) with Staphylococcus aureus, including exchange of the modular components and IV antibiotics. The treatment failed within weeks due to poor wound healing, requiring a subsequent both-component revision. She responded well, with IV antibiotics followed by suppressive oral antibiotics.
Several months later, the patient represented with bilateral knee pain (she had had a right knee replacement 10 years prior). Subsequent aspirations of both knees revealed PJI due to S. aureus despite suppressive antibiotics. The patient underwent a right knee both-component removal with insertion of an articulating antibiotic spacer (Figure 2A), followed a week later by both-component revision and partial resection of the remaining lateral femoral plate (Figure 2B). She responded well, completing IV antibiotics and being placed again on suppressive oral antibiotics.

Figure 2: AP views of the right knee following component removal and insertion of an articulating antibiotic spacer (A) and left knee component revision and partial resection of femoral plate (B).
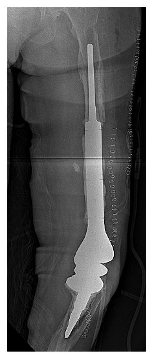
She developed severe gastric symptoms after several months and discontinued oral antibiotics, after which bilateral knee pain recurred. Aspiration revealed persistence of staphylococcal PJI. The patient again underwent staged bilateral surgery, with removal of the right knee spacer and placement of another articulating spacer. On the left side a complex knee revision was undertaken with the trauma service due to concerns for persisting infection; the cephalomedullary nail, remaining lateral femoral plate, and part of the femoral diaphysis were removed. A longer distal femoral replacement with a larger intercalary segment was performed (Figure 3), but 2 months later a lateral drainage developed through an old incision site, necessitating both-component revision with assistance from plastic surgery. Soft tissue coverage with a medial gastrocnemius flap and skin coverage with a simultaneous medial fasciocutaneous flap were achieved.

Figure 3: Postoperative lateral radiograph of left knee after revision and cephalomedullary nail and complete femoral plate removal.
Staphylococcal PJI recurred recently in the right knee; the left side was culture negative with no elevated markers. The patient underwent another spacer exchange with high-dose antibiotic cement. She remains on oral cefadroxil and uses a walker. The left knee is more stable and can bear weight, while the right side requires physical therapy to strengthen the quadriceps and the abductors. She reports that while the infection changed her life and she is dissatisfied with her dependence on the walker, she is grateful she can tolerate the chronic antibiotic regimen.
Discussion
This case highlights 3 challenges in revision knee arthroplasty complicated by chronic PJI: (1) staphylococcal PJI in the setting of a megaprosthesis, (2) polyarticular PJI, and (3) a fragile soft tissue envelope.
S. aureus, a common offending organism in chronic PJI, is associated with a higher treatment failure rate (up to 24% [1]) than other pathogens. Staphylococcus persists on the surface of implants and surrounding tissue because it can form biofilm, a complex extracellular matrix composed mostly of carbohydrates. Once formed, biofilm can repel immune response and is much less sensitive to antibiotics. Consequently, a 2-stage procedure is more likely than implant retention to control infection. In a study of cancer patients who were treated for knee PJI, 5-year infection control rates were only 16% when implants were retained and 75% when they were removed and spacers placed [2]. Another study found that when 2-stage revision failed, success rates with repeat 2-stage revision dropped below 50%, regardless of the causative organism [3].
Metachronous PJI, an infection in 1 or more artificial joints over time after an initial PJI, was found in 1 study in 11% of patients at 4 years from first PJI, with arthroplasty in the ipsilateral limb being the most common location for a metachronous PJI [4]. Our patient’s infection was much less typical and therefore less clear to manage. Organism identification prior to surgical treatment is critical with metachronous PJI; we pursued a staged approach to give adequate time for the patient to recover from anesthesia, perioperative transfusions, and thromboembolic risk. Articulating spacers are usually inserted on the first surgical side due to risk of hematogenous spread from the second side during surgical intervals. Risk factors for metachronous PJI include female sex, rheumatoid arthritis, and bacteremia, the latter the most likely cause in this case [5]. Although the literature supports prompt aspiration of the symptomatic arthroplasty in PJI, there are no clear guidelines if other arthroplasty sites are clinically silent.
Finally, due to this patient’s multiple incisions and thin skin, soft tissue closure was challenging, and she may have benefited from earlier plastic surgery consultation, especially after the draining sinus formed. Myocutaneous flaps involving the gastrocnemius can be used for achieving soft tissue closure in revision TKA, but prior trauma and multiple incisions can lead to the rare need for a medial fasciocutaneous flap.
This patient’s experience serves as a humbling reminder of why research is needed on the pathogenesis of PJI and the role of the immune response in clearing infection. Although antibiotic suppression has become more popular, concerns about antimicrobial resistance [6] and systemic adverse effects suggest it may not be an effective long-term solution [5].
Acknowledgement: The authors acknowledge the contributions of trauma surgeon Aleksey Dvorzhinskiy, MD, MSc, plastic surgeon Lloyd B. Gayle, MD, and infectious disease specialist Michael W. Henry, MD.
References
- Espíndola R, Vella V, Benito N, et al. Rates and predictors of treatment failure in Staphylococcus aureus prosthetic joint infections according to different management strategies: a multinational cohort study—The ARTHR-IS Study. Group Infect Dis Ther. 2022;11(6):2177-2203.
- McChesney GR, Al Farii H, Singleterry S, et al. Can periprosthetic joint infection of tumor prostheses be controlled with debridement, antibiotics, and implant retention? Clin Orthop Relat Res. 2024 Jul 8. doi: 10.1097/CORR.0000000000003184.
- Kurtz SM, Higgs GB, Lau E, et al. Hospital costs for unsuccessful two-stage revisions for periprosthetic joint infection. J Arthroplasty. 2022;37(2):205-212.
- Sangaletti R, Zanna L, Akkaya M, et al. Periprosthetic joint infection in patients with multiple arthroplasties. Bone Joint J. 2023;105-B(3):294-300.
- Komnos GA, Manrique J, Goswami K, et al. Periprosthetic joint infection in patients who have multiple prostheses in place: what should be done with the silent prosthetic joints. J Bone Joint Surg Am. 2020;102(13):1160-1168.
- Kelly MP, Gililland JM, Blackburn BE, et al. Extended oral antibiotics increase bacterial resistance in patients who fail 2-stage exchange for periprosthetic joint infection. J Arthroplasty. 2022;37(8S):S989-S996.