A 25-Year-Old Man with Failed Anterior Cruciate Ligament (ACL) Revision Treated with Closing Wedge High Tibial Osteotomy, Bone Grafting, and Staged Revision ACL Reconstruction
From Grand Rounds from HSS: Management of Complex Cases | Volume 13, Issue 2
Case Report
A 25-year-old man presented with ongoing anterior cruciate ligament (ACL) instability. He had undergone hamstring autograft ACL reconstruction at age 18, followed by revision 2 years later with allograft. He re-tore the graft at age 22 and had a revision with bone-tendon-bone autograft and concurrent medial collateral ligament (MCL) reconstruction with allograft. Due to ACL instability over the prior year, a magnetic resonance imaging (MRI) scan was obtained, demonstrating recurrent graft failure.
Physical examination demonstrated neutral alignment, a 3B Lachman test, and a grade-3 pivot shift. Collateral ligaments were stable with minimal medial opening to valgus stress. He lacked 2° to full extension and flexed to 135°. Preoperative imaging demonstrated increased posterior slope to approximately 17°, an absent ACL, and multiple fixation devices from his prior surgeries (Figure 1). A vertical tear in the posterior horn of the medial meniscus and an anterior subluxation of the tibia were noted (Figure 2). The articular surfaces were intact.

Figure 1: Preoperative right knee anteroposterior (A) and lateral (B) X-rays; (B) demonstrates a 17° posterior tibial slope.

Figure 2: Preoperative right knee MRI demonstrates 19.7 mm of anterior tibial subluxation.
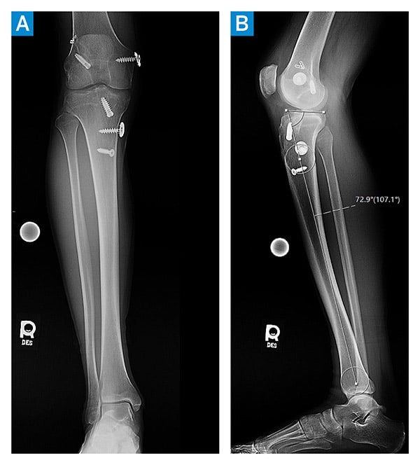
The patient underwent anterior closing wedge high tibial osteotomy with medial meniscus repair, hardware removal, and bone grafting of the prior ACL tunnels. Six months later, he underwent hardware removal, revision ACL reconstruction, and lateral extra-articular iliotibial band tenodesis. The latter was indicated given the multiple failures of prior ACL reconstructions, along with high-grade laxity (grade-3B Lachman, grade-3 pivot shift). His final physical examination demonstrated a 1A Lachman, no pivot shift, and stable collateral ligaments. There was full extension without hyperextension, and he flexed to 135°. The tibial subluxation had resolved, and the posterior slope was reduced to 4° (Figures 3 and 4). He returned to an active lifestyle but was counselled against returning to high-pivoting sports, given his extensive history of instability.

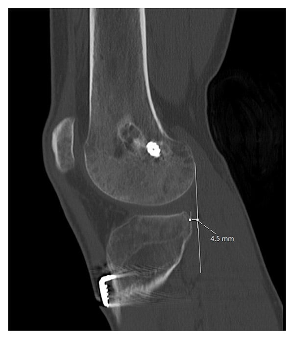
Figure 3: Postoperative right knee computed tomographic scan after ACWO but before revision ACL reconstruction shows reduced anterior tibial subluxation of 4.5 mm.

Figure 4: Postoperative right knee anteroposterior (A) and lateral (B) X-rays show reduced slope to 4° and no tibial subluxation.
Discussion
Certain anatomic factors have been associated with the risk of ACL failure, including increased posterior tibial slope [1]. Salmon et al. found a posterior tibial slope of 12° or higher to be one of the greatest predictors of ACL retear [2]. Increased posterior tibial slope is correlated with increased anterior tibial translation, potentially straining the ACL and raising the risk of ACL tear [3]. It is therefore biomechanically advantageous for the surgeon to consider a slope-reducing osteotomy to decrease the risk of future failure. Revision ACL reconstruction can be performed as a staged procedure, as in this case, or concurrently, depending on the need for bone grafting of potentially enlarged ACL tunnels. Anterior closing wedge osteotomy (ACWO) has been shown to restore knee function and stability in patients who experience recurrent ACL tears [4].
While the literature is limited on ACWO with revision ACL reconstruction, 3 retrospective studies have shown beneficial results. A case series of 5 patients who underwent concurrent ACWO and revision ACL reconstruction found mean posterior tibial slope changes from 13.6° to 9.2° and satisfactory clinical outcomes [4]. In a retrospective review of 9 patients who underwent a revision ACL reconstruction and ACWO with a minimum 2-year follow-up, Dejour et al. reported satisfactory results, suggesting that tibial slope correction protected the ACL [5]. More recently, Akoto et al. reported that in 20 patients who underwent ACWO followed by revision ACL reconstruction, posterior tibial slope decreased from an average of 15.3° to 8.9°, and no patients sustained ACL revision failure [6].
This evidence suggests that ACWO with staged or concurrent revision ACL reconstruction may be a viable option for patients such as this one who have recurrent ACL tears in the setting of posterior slope greater than 12°.
References
- Shelbourne KD, Benner RW, Jones JA, Gray T. Posterior tibial slope in patients undergoing anterior cruciate ligament reconstruction with patellar tendon autograft: analysis of subsequent ACL graft tear or contralateral ACL tear. Am J Sports Med. 2021;49(3):620-625. doi: 10.1177/0363546520982241.
- Salmon LJ, Heath E, Akrawi H, Roe JP, Linklater J, Pinczewski LA. 20-year outcomes of anterior cruciate ligament reconstruction with hamstring tendon autograft: the catastrophic effect of age and posterior tibial slope. Am J Sports Med. 2018;46(3):531-543. doi: 10.1177/0363546517741497.
- Bernhardson AS, Aman ZS, Dornan GJ, et al. Tibial slope and its effect on force in anterior cruciate ligament grafts: anterior cruciate ligament force increases linearly as posterior tibial slope increases. Am J Sports Med. 2019;47(2):296-302. doi: 10.1177/0363546518820302.
- Sonnery-Cottet B, Mogos S, Thaunat M, et al. Proximal tibial anterior closing wedge osteotomy in repeat revision of anterior cruciate ligament reconstruction. Am J Sports Med. 2014;42(8):1873-80. doi: 10.1177/0363546514534938.
- Dejour D, Saffarini M, Demey G, Baverel L. Tibial slope correction combined with second revision ACL produces good knee stability and prevents graft rupture. Knee Surg Sports Traumatol Arthrosc. 2015;23(10):2846-52. doi: 10.1007/s00167-015-3758-6.
- Akoto R, Alm L, Drenck TC, Frings J, Krause M, Frosch KH. Slope-correction osteotomy with lateral extra-articular tenodesis and revision anterior cruciate ligament reconstruction is highly effective in treating high-grade anterior knee laxity. Am J Sports Med. 2020;48(14):3478-3485. doi: 10.1177/0363546520966327.