Limb Lengthening Before and After Photos
Limb Lengthening and deformity correction often leads to dramatic improvement in both function and appearance for patients. Below are before and after photos followed by additional information about each individual case.

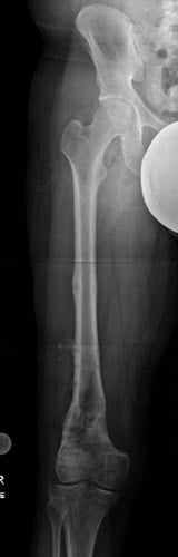
Case #74: Femur lengthening and deformity correction.

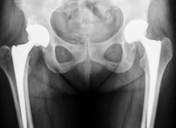
Case #66: Bilateral total hip replacement











