Acetabular Fractures
Case Example
A 34-year-old male was a passenger in an automobile that collided with another vehicle at high-speed. There was a lateral impact on the passenger side door. He was taken to the local trauma center for initial assessment where he was diagnosed with a right-sided Anterior Column Posterior Hemitransverse acetabular fracture. In skeletal traction the patient was transferred to Dr. David L. Helfet at the HSS Orthopedic Trauma Service for definitive management. ORIF was performed using an ilioinguinal approach. The patient returned for follow-up at two years after ORIF and had excellent clinical and radiographic results without evidence of either avascular necrosis or degenerative arthritis of the hip joint and a return to pre-injury activities.

Radiographs reveal a right-sided Anterior Column Posterior Hemitransverse acetabular fracture.

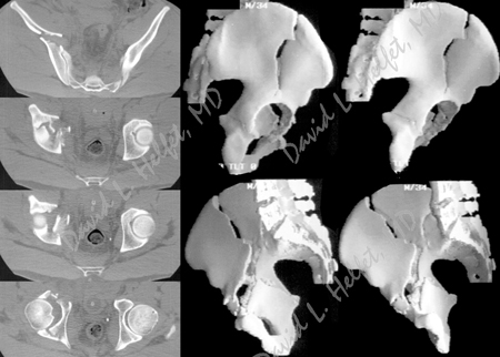
CT and 3D reconstruction images of the acetabulum further delineating the fracture pattern.

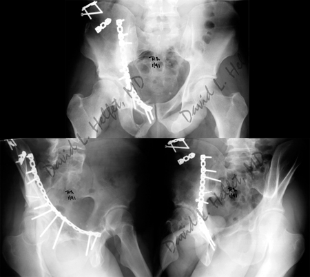
Radiographic images at two years following surgery illustrate a healed acetabular fracture
with excellent preservation of the hip joint space.
Research Publications
The HSS Orthopedic Trauma Service has conducted many studies. Please see our publications on acetabular fractures.