Hip Fractures
Case Example
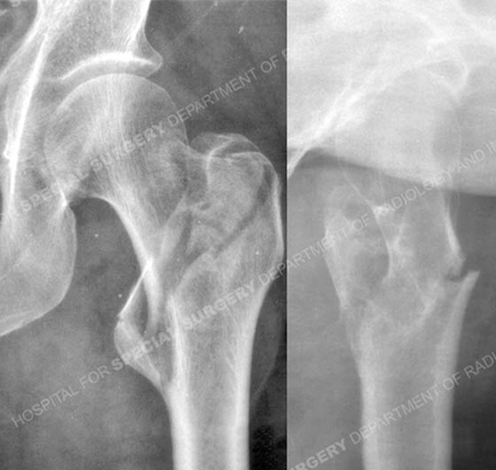
Intertrochanteric Hip Fracture
A previously healthy 63-year-old female fell from a step ladder and sustained a left-sided hip fracture. She arrived through our emergency department and radiographs revealed a minimally displaced unstable intertrochanteric hip fracture. She was placed under the care of Dr. David L. Helfet at the Orthopedic Trauma Service at Hospital for Special Surgery and Open Reduction and Internal Fixation (ORIF) was performed with placement of a trochanteric intramedullary nail. She returned for regular follow-up visits and radiographs showed progressive fracture healing. At the time of her latest follow-up visit, 6 months following fracture surgery she presented with excellent radiographic and clinical results including a healed hip fracture in excellent alignment, preservation of the hip joint space, resolution of pain, full range of motion and a return to pre-injury activities.

Anteroposterior and lateral radiographs revealing an unstable intertrochanteric fracture.

Anteroposterior and lateral radiographs 6 months following fracture surgery illustrating a healed intertrochanteric hip fracture.
Research Publications
The HSS Orthopedic Trauma Service has conducted many studies. Please see our publications on hip fractures and fracture treatment in older populations.