Fibula Fracture (Ankle)
Case Example
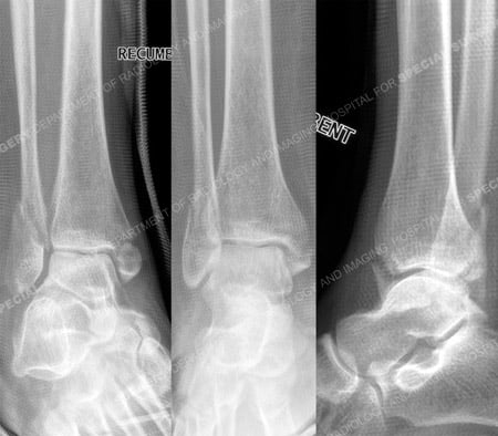
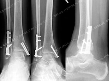
A 50-year-old female fell approximately 3 feet from a step ladder. She presented to the HSS Orthopedic Trauma Service with a bimalleolar ankle fracture placed in a cast by the referring hospital. Open Reduction and Internal Fixation (ORIF) was performed by Dr. David L. Helfet with placement of a plate and multiple screws, including an interfragmentary lag screw, for the fibula fracture and 2 screws for fixation of the medial malleolus fracture. She returned at regular follow-up intervals and healed uneventfully and at 8 months following surgery radiographs illustrated a healed ankle fracture and clinically she reported no pain and a full return to pre-injury activities.

Radiographs reveal a displaced bimalleolar ankle fracture.

X-rays taken at 9 months revealing a healed ankle fracture.