Patella Fractures
Case Example
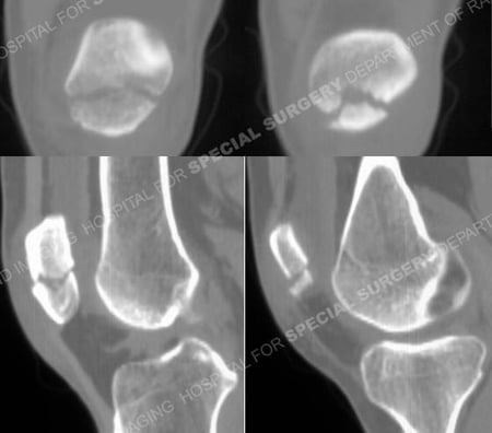
Left-Sided Transverse Patella Fracture
A 39-year-old female slipped and fell while walking on ice onto her left lower extremity and left knee. Radiographs taken in our Emergency Department revealed a left-sided transverse patella fracture. Open reduction and internal fixation (ORIF) was performed by David L. Helfet, MD at the Orthopedic Trauma Service at Hospital for Special Surgery and the fracture was reduced and fixed using a tension band construct. She returned for regular follow-up and healed uneventfully. At the time of her latest follow-up visit, 13 months following fracture surgery, she has excellent radiographic and clinical results including a healed patella fracture in excellent alignment, maintenance of fixation and joint space, resolution of pain, and a return to pre-injury activities.

Anteroposterior and lateral radiographs revealing a transverse patella fracture.

CT scan images

Anteroposterior and lateral radiographs 13 months following fracture surgery illustrating a healed patella fracture in excellent alignment.
Research Publications
The HSS Orthopedic Trauma Service has conducted many studies. Please see our publications on patella fractures.