Scapula Fractures
Case Example
Complex Scapula Fracture with Associated Clavicle Fracture
A 25-year-old male lost control while riding a moped and fell landing on his outstretched left upper extremity. He was taken to a local hospital and radiographs revealed a complex comminuted left-sided scapula fracture with extension into the glenoid and an associated mid-shaft clavicle fracture. Open Reduction and Internal Fixation (ORIF) for the clavicle fracture was performed at the outside hospital using a plate placed on the superior aspect of the clavicle.
He was then transferred to the care of David L. Helfet, MD at the Orthopedic Trauma Service of Hospital for Special Surgery for definitive management of his scapula fracture. ORIF was performed for his scapula fracture with placement of multiple mini-fragment plates and screws including interfragmentary lag screws. He continued to return for regular follow-up and his fractures healed uneventfully and at 1 year following fracture surgery his results are excellent including healed scapula and clavicle fractures, full resolution of pain and range of motion, and a return to all his pre-injury activities.

Anteroposterior and lateral radiographs illustrating a complex comminuted left-sided scapula fracture with extension into the glenoid and an associated mid-shaft clavicle fracture.

3D reformatted CT scan images further delineate the fracture pattern.

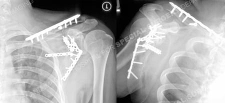
Radiographs at 1 year revealing healed scapula and clavicle fractures in excellent alignment.
Research Publications
The HSS Orthopedic Trauma Service has conducted many studies. Please see our publication on scapula fractures, clavicle fractures, and complex fractures.