Skip to main content
Hospital for Special Surgery Logo
phone 1.212.606.1000
Make an Appointment
1.212.606.1000 Make an Appointment

Shoulder Fractures

Case Example

A 20-year-old male was walking across an intersection and was stuck by a car that went through a stop signal. He fell onto his outstretched left upper extremity was taken to the Orthopedic Trauma Service at Hospital for Special Surgery and placed under the care of David L. Helfet, MD for evaluation and treatment of his injuries. Radiographs revealed a comminuted 4-part proximal humerus fracture and associated shoulder dislocation with extensive comminution. The fracture was reduced and fixed using a proximal humerus locking plate with multiple screws including screw fixation of the medial column and interfragmentary screws. He returned for regular follow-up and at 4 months presented with excellent radiographic and clinical results including a healed proximal humerus fracture in excellent alignment, full resolution of pain symptoms, full range of motion and a return to pre-injury activities.

Radiographs of proximal humerus fracture and associated shoulder dislocation from a case example presented by the orthopedic trauma service at Hospital for Special Surgery.
Anteroposterior and lateral radiographs a comminuted 4-part proximal humerus fracture and associated shoulder dislocation with medial comminution.

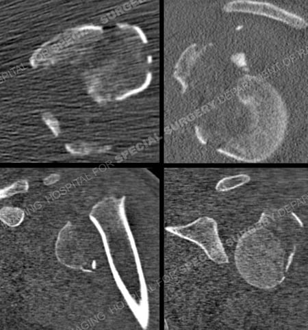
CT Scans revelaing proximal humerus fracture from a case example of should fracture from the orthopedic trauma service at Hospital for Special Surgery.
CT scan images further delineating the fracture pattern and medial comminution.

preoperative plan and fluoroscopic images following humerus fracture surgery from a case example of shoulder fracture from the orthopedic trauma service at Hospital for Special Surgery.
Pre-operative plan (top image) and fluoroscopic images following fracture surgery showing an acceptable reduction and placement of fixation construct.

radiographs 4 months following reveal healed proximal humerus fracture from a case example of shoulder fracture from the orthopedic trauma service at Hospital for Special Surgery.
Radiographs at 4 months illustrating a healed proximal humerus fracture in excellent alignment.

Research Publications

The HSS Orthopedic Trauma Service has conducted many studies. Please see our publications on shoulder fractures, humerus fractures, and use of locking plates in fracture treatment.