Distal Tibia (Pilon) Fractures
Case Example
A 42-year-old male slipped and fell approximately 14 feet while working on a ladder onto his right lower extremity. He was taken to our affiliated Emergency Department at NewYork-Presbyterian Hospital, and placed under the care of Dr. David L. Helfet. Radiographs revealed a right-sided displaced distal tibial pilon fracture with extensive articular comminution and associated displaced fibula fracture with significant soft tissue swelling. A spanning external fixator was placed for initial treatment followed by Open Reduction and Internal Fixation (ORIF) of his fibula fracture with placement of a 7-hole locking plate to achieve restoration of length. ORIF of the pilon fracture was performed at 3 weeks following resolution of the soft tissue swelling and the fracture was reduced and fixed an 2 locking plates and screws were placed laterally and anteriorly. He returned for follow-up visits at regular intervals and at 5 months following the index surgery radiographs revealed a healed distal tibial pilon fracture in good alignment and he reported resolution of pain and return to pre-injury activities.

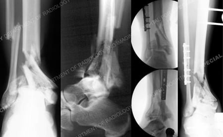
Anteroposterior and lateral radiographs illustrating a right-sided displaced distal tibial pilon fracture with extensive articular comminution and associated displaced fibula fracture and (right images) fluoroscopic and anteroposterior x-ray following placement of external fixation and ORIF of the fibula fracture.

CT scan images further delineating the fracture pattern and pre-operative surgical plan.

Radiographs at 5 months following the index surgery reveal a healed pilon fracture in excellent alignment
and maintenance of fixation.
Research
The HSS Orthopedic Trauma Service has conducted many studies. Please see our publication on tibia fractures and ankle fractures.